Εγκέφαλος, Σπονδυλική Στήλη
Οι ειδικές τεχνικές μαγνητικής τομογραφίας παίζουν σημαντικό ρόλο στην ανίχνευση και στην αξιολόγηση της έκτασης του καρκίνου, καθώς και στη διερεύνηση πολλών παθήσεων του Κεντρικού Νευρικού Συστήματος. Με την χρήση τους, η διαγνωστική ακρίβεια κατά την ταυτοποίηση και τον χαρακτηρισμό μιας βλάβης αυξάνεται σημαντικά, συμβάλλοντας έτσι στην επιλογή της κατάλληλης θεραπείας και τη σωστή παρακολούθηση του θεραπευτικού αποτελέσματος.

Σκοπός μας είναι η υπερσύγχρονη απεικόνιση του Κεντρικού Νευρικού Συστήματος:
- Με πολλαπλές εφαρμογές στην ογκολογία (στη διάγνωση, τον προεγχειρητικό και ακτινοθεραπευτικό σχεδιασμό, στην παρακολούθηση του θεραπευτικού αποτελέσματος) και σε πολλές άλλες παθήσεις του εγκεφάλου, της σπονδυλικής στήλης και του τραχήλου (μεταβολικές, νευροεκφυλιστικές, φλεγμονώδεις και λοιμώδεις παθήσεις).
- Με ομάδα εξιδεικευμένων νευροακτινολόγων και ακτινοφυσικών, οι οποίοι επιμελούνται σύμφωνα με τα διεθνή πρότυπα, τα ειδικά πρωτόκολλα, τα οποία είναι προσαρμοσμένα στην ανατομική περιοχή και την πάθηση που διερευνάται
- Με διάγνωση από ιατρούς εξειδικευμένους σε κέντρα αναφοράς των ΗΠΑ με πολυετή εμπειρία, εξειδίκευση στην Νευροακτινολογία και καταξίωση στον ελλαδικό χώρο.
Ποια είναι τα πλεονεκτήματα της προηγμένης απεικοκόνισης
- Μορφολογική απεικόνιση υψηλής ευκρίνειας, με τρισδιάστατες εικόνες και δυνατότητα ογκομέτρησης (volumetry)
- Δυνατότητα σύντηξης των εικόνων, με εικόνες προηγούμενων εξετάσεων, ώστε να υπάρχει μεγαλύτερη ακρίβεια στην αξιολόγηση της μεταβολής της βλάβης κατά τους συγκριτικούς επανελέγχους
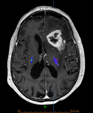
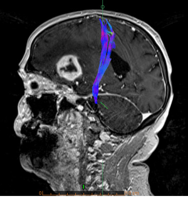
- Ειδικές τεχνικές state-of-the-art (Λειτουργική / Πολυπαραμετρική MRI, Φασματοσκοπία, Δεσμιδογραφία, Δυναμικές Αγγειογραφίες, Νευρογράφημα, Μελέτη Ροής ΕΝΥ)
- Συνδυασμός των ειδικών τεχνικών με ανατομικές εικόνες υψηλής ευκρίνειας, ο οποίος δίνει σημαντικές επιπρόσθετες πληροφορίες για τον χαρακτηρισμό του ιστού (αριθμό των κυττάρων, αιματική ροή και μεταβολική δραστηριότητα)
- Ενσωμάτωση των δεδομένων σε συστήματα νευροπλοήγησης, ώστε ο νευροχειρουργός να αποφεύγει κατά την διάρκεια του χειρουργείου τα λειτουργικά κέντρα του εγκεφάλου (π.χ. κέντρο λόγου και κίνησης) και τη μόνιμη νευρολογική βλάβη
Δείτε επίσης
Νευροχειρουργική
Τεχνικές / Εξοπλισμός
- Απεικόνιση με υπερσύγχρονο μαγνητικό τομογράφο 3Τesla SIEMENS SKYRA τελευταίας γενιάς και ειδικό πηνίο κεφαλής τραχήλου μοναδικό για τον ελλαδικό χώρο (64 channel dedicated head coil)
- Επεξεργασία των δεδομένων σε σύστημα CAD
- Εικόνες υψηλής ευκρίνειας (high resolution)
- Ειδικές τεχνικές Diffusion (multiple b value DWI, IVIM)
- Perfusion (τεχνικές DSC, DCE, ALS)
- Φασματοσκοπία (Spectroscopy)
- Λειτουργική Μαγνητική Τομογραφία (fMRI)
- Δεσμιδογραφία (Τractography)
- Μελέτη Ροής Εγκεφαλονωτιαίου Υγρού
- Νευρογράφημα
- Τετραδιάστατη Δυναμική Μαγνητική Αγγειογραφία (4D-twist)