Η κλασική μαγνητική τομογραφία καρδιάς είναι μία από τις πλέον σημαντικές απεικονιστικές τεχνικές για τη διάγνωση των καρδιαγγειακών παθήσεων. Είvαι μια εξέταση φιλική, δεν απαιτεί καμία ειδική προετοιμασία από τον ασθενή και προσφέρει τη δυvατότητα λήψης τoμoγραφικώv εικόvωv άριστης ποιότητας. Τα τελευταία χρόνια οι διαγνωστικοί ορίζοντες της απεικόνισης της καρδιάς έχουν διευρυνθεί με κάποιες νεότερες τεχνικές, εκ των οποίων οι πλέον καινοτόμες εφαρμόζονται στο Metropolitan Hospital.
Οι νεότερες τεχνικές που εφαρμόζονται στο Τμήμα Μαγνητικής Τομογραφίας Καρδιάς του Μetropolitan Hospital είναι η δυναμική μαγνητική τομογραφία καρδιάς με αδενοσίνη (adenosine stress perfusion MRI), μια δυναμική τεχνική με υψηλή ειδικότητα, ευαισθησία, διακριτική ικανότητα και ασφάλεια και η μαγνητική τομογραφία καρδιάς με χαρτογράφηση του μυοκαρδίου (Τ1/Τ2 mapping MRI), μια συμπληρωματική απεικονιστική μέθοδος που δίνει περισσότερες πληροφορίες με ασφάλεια σε περιπτώσεις αντένδειξης της χρήσης σκιαγραφικού ενδοφλεβίως.
Μαγνητική τομογραφία καρδιάς
Οι κυριότερες ενδείξεις της μαγνητικής τομογραφίας καρδιάς είναι:
- η διερεύνηση καρδιακής ανεπάρκειας – μυοκαρδιακής δυσλειτουργίας
- η μυοκαρδίτιδα
- οι μυοκαρδιοπάθειες (υπερτροφική μυοκαρδιοπάθεια, διατατική μυοκαρδιοπάθεια, διηθητική μυοκαρδοπάθεια, αρρυθμιογόνος δυσπλασία, κτλ.)
- η στεφανιαία νόσος (διαπίστωση διαταραχών στην αιμάτωση του μυοκαρδίου και ανίχνευση ουλής μετά από έμφραγμα του μυοκαρδίου)
- οι παθήσεις των καρδιακών βαλβίδων
- οι παθήσεις του περικαρδίου
- οι όγκοι της καρδιάς
- οι συγγενείς καρδιοπάθειες (εκ γενετής ανωμαλίες της διάπλασης της καρδιάς)
- η διάγνωση και παρακολούθηση ανευρυσμάτων της θωρακικής αορτής.
Δυναμική μαγνητική τομογραφία καρδιάς με αδενοσίνη (adenodine stress perfusion MRI)
Οι κυριότερες ενδείξεις της δυναμικής μαγνητικής τομογραφίας καρδιάς με αδενοσίνη είναι:
- ο αποκλεισμός στεφανιαίας νόσου σε άτομα χαμηλού και μέσου κινδύνου
- ο καθορισμός της αιμοδυναμικής σημασίας σε περιπτώσεις με ενδιάμεσες στενώσεις των στεφανιαίων αγγείων κατά την κλασική στεφανιογραφία ή την αξονική στεφανιογραφία
- η μελέτη μυοκαρδιοπαθειών που προκαλούν στηθαγχικά ενοχλήματα και υπενδοκάρδια ισχαιμία
- η μελέτη αιμάτωσης-βιωσιμότητας μετά από έμφραγμα μυοκαρδίου.
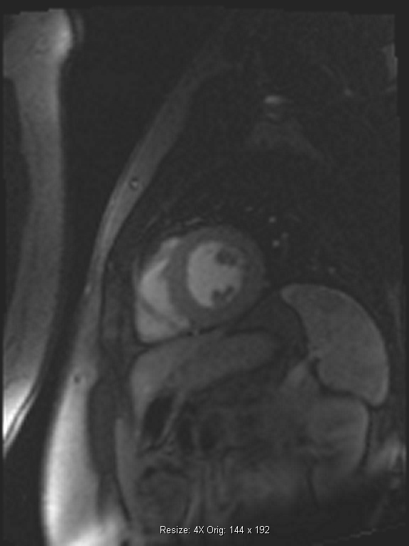
Τα βασικότερα πλεονεκτήματα της δυναμικής μαγνητικής τομογραφίας καρδιάς με αδενοσίνη (adenodine stress perfusion MRI) είναι η υψηλότερη ευαισθησία και ειδικότητα σε σχέση με τις υπόλοιπες διαγνωστικές μεθόδους δυναμικής απεικόνισης (σπινθηρογράφημα μυοκαρδίου, stress echo), η καταγραφή ακόμα και μικρών υπενδοκάρδιων ισχαιμικών περιοχών και μυοκαρδιακών ουλών, η καλύτερη διακριτική ικανότητα σε σχέση με το σπινθηρογράφημα του μυοκαρδίου και η ασφάλεια λόγω της απουσίας έκθεσης σε ιονίζουσα ακτινοβολία (εικόνες 1,2).
Μαγνητική τομογραφία καρδιάς με χαρτογράφηση του μυοκαρδίου (Τ1/Τ2 mapping MRI)
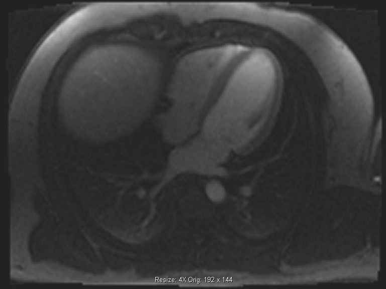
Η χαρτογράφηση του μυοκαρδίου με Τ1 και Τ2 ακολουθίες βοηθά στον γρήγορο, χωρίς τη χρήση σκιαγραφικού παράγοντα και ασφαλή χαρακτηρισμό του μυοκαρδίου και ανιχνεύει περιοχές με μυοκαρδιακό οίδημα και μυοκαρδιακή βλάβη όπως η ίνωση. Γίνεται συμπληρωματικά των κλασικών ακολουθιών της μαγνητικής τομογραφίας καρδιάς και προσφέρει πρόσθετες πληροφορίες για τυχόν βλάβες στο μυοκάρδιο ειδικά σε εξετάσεις όπου υπάρχει αντένδειξη στη χορήγηση ενδοφλέβιου σκιαγραφικού όπως είναι η κύηση ή προϋπάρχουσα αλλεργία (εικόνες 3,4).
Τμήμα Μαγνητικής Τομογραφίας Καρδιάς Μetropolitan Hospital
To Τμήμα Μαγνητικής Τομογραφίας Καρδιάς του Μetropolitan Hospital διαθέτει σύγχρονους μαγνητικούς τομογράφους 1.5 & 3 Τesla και εξειδικευμένο προσωπικό με πιστοποίηση SCMR level 3 και EACVI level 3 για τη διενέργεια εξετάσεων μαγνητικής τομογραφίας καρδιάς.
Εικόνα 1. Δυναμική μαγνητική τομογραφία καρδιάς με αδενοσίνη:
Εικόνα 2. Μαγνητική τομογραφία καρδιάς με χαρτογράφηση του μυοκαρδίου: