The developments in Interventional Gastroenterology have brought about many changes in managing digestive conditions that until recently were treated exclusively surgically. The following conditions are successfully treated at our Hospital, similarly to specialized centers abroad.
Endoscopic Myotomy For Esophageal Achalasia
Peroral endoscopic myotomy (POEM) for esophageal achalasia has started being performed in Greece in the last two years, exclusively at Metropolitan Hospital, with successful results. The procedure is performed from the mouth with the help of an endoscope, at the Hospital's Endoscopy Department. A special lancet is fitted to the endoscope and with precise movements, it cuts the contracted circular muscle fibers in the lower third of the esophagus which are responsible for causing achalasia.

Disease
Achalasia is the most common benign primary motor disorder of the esophagus, marked by progressively deteriorating dysphagia, regurgitation of undigested food trapped in the dilated esophagus, heartburn and pain, as well as progressive weight loss in advanced stages. These individuals also run the risk of developing aspiration pneumonia from food trapped in the esophagus for days, or even carcinomatous change.
Treatment
Conventional treatment methods include: endoscopic balloon dilation (but with temporary results, high failure rates and frequent revision procedures) and Heller myotomy, which is performed in very severe cases, has high failure rates and is accompanied by an antireflux procedure. The revolutionary peroral endoscopic myotomy (POEM) is the most contemporary, minimally invasive technique for radical treatment of all types of esophageal achalasia.
Conclusions:
Peroral endoscopic myotomy (POEM) may be performed safely and successfully, even on older or gravely ill patients. After POEM, patients do not have any abdominal incisions, are not in pain and may move around freely. They may start receiving liquid food and be discharged on the first postoperative day. POEM assists patients in getting rid of the daily nightmare associated with their eating – which has been going on for decades in some patients – and lets them enjoy better quality of life.
Endoscopic Treatment Of Zenker's Diverticulum
Zenker's diverticulum is a rare diverticulum located behind the upper cardioesophageal sphincter. This diverticulum may be caused by incomplete upper esophageal sphincter relaxation coupled with muscle asynergy in the area. These initially lead to the formation of a small hernia, which eventually develops into a diverticulum. It is more common after the age of 60, predominantly affecting men more than women at a ratio of about 2:1. It may be diagnosed with an esophageal X-ray and requires careful endoscopic examination, as endoscopy specialists cannot easily diagnose it.
Symptoms include:
- Persistent coughing
- Dysphagia
- Difficulty swallowing liquids
- Weight loss
- Aspiration pneumonia
- Regurgitation of small amount of food
- Posterior cervical junction
Until recently, the treatment of choice was open surgery, followed by long hospitalization and complications. In the last few years, Metropolitan has been using a new, safe and painless endoscopic method, with excellent results and 48-hour hospitalization, and without external incisions on the neck.
The excision is performed under general anesthesia:
A Levin tube is initially placed in the esophagus to preserve the digestive tract and prevent thermal damage to the esophageal walls. A plastic overtube in then placed to isolate the pouch that must be excised (between the diverticulum and the esophagus).
An endoscope fitted with a special lancet is inserted through the overtube and the pouch is slowly excised (starting from the mucosa and moving on to the muscular layer). Once the excision is complete, the incision is sutured with metal clips to avoid mediastinal abscesses and active hemorrhage.
The patient is required to fast for 24 hours and is discharged in 48 hours, provided that the esophagus has been accessed, to rule out emptying (perforation).
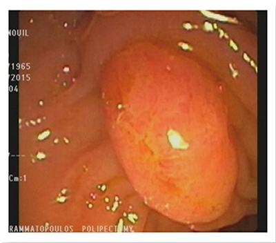
Endoscopic Removal Of Large Sessile Polyps And Submucosal Lesions
A sessile polyp is any flat wall growth without a stalk, usually detected during an endoscopic exam.

Sessile polyps differ in size, ranging from a few milliliters to several centimeters, and may be located anywhere along the digestive tract.
Submucosal lesions are tumors – usually benign, but also malignant in some cases – that are located inside the digestive tract wall. In the majority of cases they are covered by normal mucosa. When the endoscopy specialist detects a sessile polyp or a submucosal lesion, the first thing they consider is how to remove it completely, without causing any complications or prompting any future relapse. The most difficult to manage polyps are the ones located in the second part of the stomach duodenum, as well as the adenomas of the ampulla of Vater.
The following conditions must be met before removing any polyp or submucosal lesion:
- The endoscopy specialist must be experienced and able to handle any complications that may arise.
- The nursing staff must have the necessary experience.
- The anatomic pathologist who will examine the excised material must be experienced.
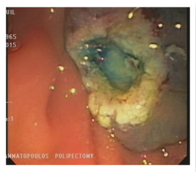
Our Hospital meets all these conditions. As a result, the endoscopic procedures are completely safe. Sessile polyps that are over 1 cm in size require special endoscopic management during polypectomy. A necessary condition is the submucosal injection of normal saline solution, with or without epinephrine, along with blue de methylene or indigo carmine. The infusion helps separate the mucosa and submucosa from the muscular layer. This technique also offers the endoscopy specialist the chance to understand whether they can remove the lesion. When the base of the polyp rises smoothly and easily, then it is possible to remove the polyp. The infusion may reduce the risk of bleeding and perforation following polypectomy.
Polyps that are over 2 cm in size may be removed in fragments or using the endoscopic submucosal dissection (ESD) method. Submucosal lesions are removed using a different procedure. Initially, the mucosa is lanced using a special lancet and the lesion is exposed. It is then separated from the surrounding tissue and removed.
Endoscopic Submucosal Dissection (ESD)
This technique was first developed in Japan for the removal of an entire large polyp in one piece during one session.
This technique has both advantages and disadvantages.
Advantages:
- The anatomic pathology material (one single piece sent to histology)
- Lower risk of recurrence compared to a fragmented polypectomy
Disadvantages:
- Higher risk of bleeding
- Higher risk of perforation
- Higher cost of materials
- Difficult and time-consuming technique, which requires an experienced endoscopy specialist. In Greece, the procedure is performed at Metropolitan Hospital and just a few other specialized endoscopy centers.
Conclusions
In the last few years, all the fewer patients with sessile polyps or submucosal lesions end up on the operating table. It has been proven that the endoscopic removal of sessile polyps or submucosal lesions of the digestive tract is a safe method, with lower risk of complications, especially when performed by experienced endoscopy specialists in specialized endoscopy centers located within hospitals.
Pancreatic Pseudocyst Drainage
Pseudocysts make up 75% of cystic pancreatic lesions. They are localized collections of fluid rich in pancreatic enzymes found around the pancreas. These collections are separated from a fibrous and granulation tissue wall. Pseudocysts are created following pancreatitis or injury that causes damage to the pancreatic duct and leakage of pancreatic fluid to the omental bursa.
Pseudocyst Symptoms:
The most common pseudocyst symptoms include epigastric pain, nausea, vomiting and weight loss.
In the last few years, pseudocysts are treated endoscopically. The cyst is detected through endoscopic ultrasound. A tunnel is created between the stomach and the cyst and a special metal stent is then placed in the area. This way, the contents of the cyst drain into the stomach. The procedure is practically bloodless and patients are discharged in 24 hours, having avoided a surgical procedure that would have kept them in bed for days.
Conclusions:
This endoscopic method is performed at Metropolitan Hospital. It is safe and painless, with very low hospitalization costs.
